齐鲁医院德州医院开展首例肾癌伴高位腔静脉癌栓(Mayo Ⅲ级)手术
商讯
关注编者按:
以多学科之智,破疑难之困。
临床疑难病例,常成患者求医“拦路虎”,亦考验医者担当。齐鲁医院德州医院以疑难病诊疗为核心竞争力,搭建MDT多学科协作平台,打破学科壁垒,为患者定制精准诊疗方案。
【疑难攻坚·德医力量】专栏全景呈现真实病例,展现专家抽丝剥茧、多学科协同发力的诊疗过程,传递医学温度与希望。
专栏既是诊疗实力的展示,也是学术交流与健康科普的窗口。我们希望让疑难病患者知晓“优质诊疗就在身边”,让医者互学互鉴,让多学科协同、精准化诊疗理念深入人心,以众智破解疑难,守护区域健康。
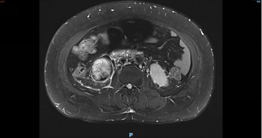
肾癌合并下腔静脉癌栓(Mayo Ⅲ级)
是泌尿外科极具挑战性的疑难重症,癌栓已侵入肝后段下腔静脉,紧邻重要血管与脏器,手术难度极大、风险极高,对术者技术、麻醉管理及多学科配合均有着严苛要求。
近日,齐鲁医院德州医院泌尿外科、麻醉手术科、肝胆外科、超声医学科等多学科联合齐鲁医院泌尿外科姜先洲教授、器官移植科杜刚教授,为一名肾癌合并下腔静脉癌栓(Mayo III级)患者,实施了医院首例肾癌伴高位腔静脉癌栓手术,在保证治疗效果的前提下,最大限度提升患者长远生活质量。此次手术的顺利实施,标志着齐鲁医院德州医院在肾癌合并高位腔静脉癌栓综合治疗领域实现重要突破,充分彰显了“齐鲁-德医”深度协作的强大优势。
51岁的康女士半年前体检时发现存在肾囊肿,进一步检查确诊为肾癌,由于癌栓体积较大,已达到III级,直接手术存在较大风险,为最大程度保障治疗效果与患者长远生活质量,齐鲁医院德州医院泌尿外科副主任高立健,医院知名专家、主任医师谷振祥,主治医师张旋,医师朱红飞组成核心诊疗组,针对康女士情况进行全面评估,建议其先接受规范的术前靶向药物治疗。经过半年的精准靶向治疗,患者肿瘤负荷得到有效控制,为手术实施创造了有利条件。
为有效规避手术风险,齐鲁医院德州医院启动多学科会诊(MDT),泌尿外科联合医务部、重症医学科、麻醉手术科、超声医学科、肿瘤科、肝胆外科、微创介入中心、影像科、输血科等多学科专家,对患者病情进行全面评估、深入研讨,精准制定个体化手术方案与应急预案,为手术顺利开展筑牢坚实基础。
手术当日,在超声医学科主任王俊玲、肝胆外科主任马德民、麻醉手术科副主任邱建磊以及输血科、手术室护理团队的密切配合、精准保障下。杜刚教授率先完成肝脏游离、肝后段下腔静脉显露及肝门阻断带预置。随后,姜先洲教授、高立健教授迎难而上,完成膈肌打开、膈上游离下腔静脉并预置阻断带这一挑战性极高的操作。紧接着,团队依次完成癌栓远端腔静脉阻断、右肾静脉阻断、第一肝门阻断、膈上下腔静脉阻断、下腔静脉切开取栓及重建、右肾癌根治等关键步骤,全程精准高效、衔接顺畅,手术圆满成功。
术后,患者转入重症医学科严密监护治疗2天,生命体征平稳,随后转入普通病房继续康复,目前已顺利出院。
此次高难度手术的成功实施,不仅开创了齐鲁医院德州医院泌尿外科复杂重症治疗领域的先河,更是“齐鲁-德医”协作模式的生动实践,也充分展现了齐鲁医院德州医院多学科团队密切配合、精益求精的医者精神。未来,齐鲁医院德州医院将持续深化与齐鲁医院的合作,不断提升疑难重症诊疗能力,为区域群众提供更优质、高效的医疗服务。
来源:山东大学齐鲁医院德州医院



