新浪山东 区县

微创“心”突破!平原县人民医院一周内完成20余台高难度心脏介入手术

商讯

关注

确定不再关注此人吗

精准介入,拒绝一刀切;微创时代,引领“心”潮流。 在平原县人民医院心内科,这句话不仅是写在墙上的口号,更是刻在每一名介入医生心中的准则。

近一周来,科室累计完成20余台心血管介入手术,涵盖急性心梗急诊PCI、左主干+三支病变等高危复杂介入治疗,以及永久起搏器植入术。从急诊抢救室的惊心动魄,到介入导管室里的精雕细琢,心内科介入团队以过硬的技术功底、精准的影像判断、沉稳的手术操作,为无数患者重启了“心”生之门。

技术一:急诊PCI,打通“命悬一线”的生命通道

对于急性心梗患者,时间就是生命。

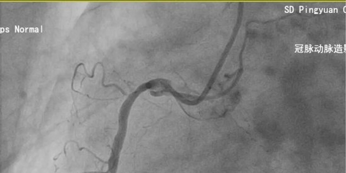
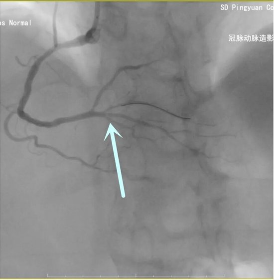
61岁的李阿姨因“胸闷1天,加重1小时”紧急入院,确诊为急性下壁心肌梗死。心内科介入团队迅速响应,一键启动导管室。急诊冠脉造影显示:冠心病三支病变——这意味着患者的三条主要血管均存在严重狭窄或闭塞,病情极为危重。

面对复杂病变,介入团队凭借丰富经验,迅速锁定“罪犯血管”右冠状动脉。在纤细的血管腔内,导丝精准通过闭塞段,球囊扩张、支架植入一气呵成。术后造影显示,血流瞬间恢复畅通,患者胸痛症状随即缓解。这场手术的成功,不仅体现了团队的应急反应速度,更考验了术者在多支病变中准确判断责任血管的“火眼金睛”。

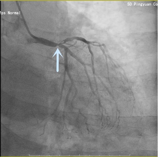
技术二:左主干“拆弹”,攻坚介入领域的“高危禁区”

如果说冠状动脉是心脏的供血通道,那么左主干就是这条通道的“总闸门”。一旦左主干发生病变,手术风险极高,对术者的操作要求堪称苛刻。

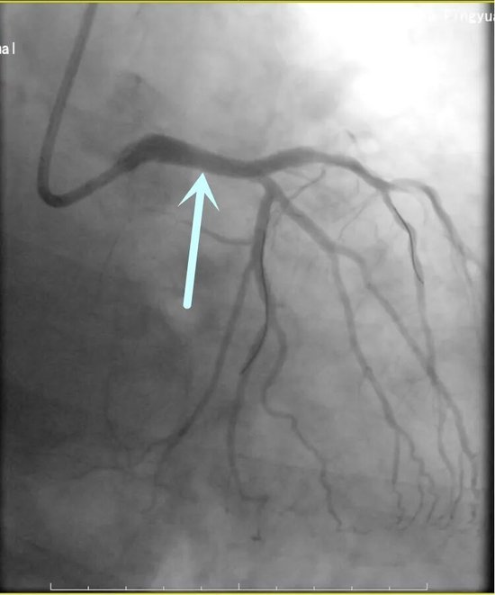
61岁的王先生因“阵发性上腹部不适”就诊,检查发现竟是凶险的急性前壁心肌梗死。择期冠脉造影结果让在场的医生都捏了一把汗:左主干+三支病变。这意味着患者的心脏供血,如果不及时干预,随时可能发生猝死。

面对这一介入领域的“硬骨头”,平原县人民医院心内科团队迎难而上,在左主干-前降支的关键病变处精准植入支架。术后造影显示,狭窄解除,血流恢复,患者转危为安。这例手术的成功,标志着该科在处理复杂高危冠脉病变方面达到了一个新的技术高度。

技术三:起搏器植入,为“失控”的心脏装上智能司令部

心跳过慢,同样致命。70岁的赵奶奶被“心悸、胸闷、乏力”困扰了3个月,入院检查确诊为高度房室传导阻滞。她的心率极慢,随时有心脏停跳的风险。

针对赵奶奶的病情,心内科团队成功实施了永久起搏器植入术。这个“火柴盒”大小的精密设备,如同一颗智慧的“心脏芯片”,被精准地植入体内。它将24小时不间断监测心率,一旦心跳过缓,便立即发出电脉冲刺激心脏跳动,彻底解决了赵奶奶的后顾之忧。从穿刺、制作囊袋到电极植入、参数调试,每一步都考验着术者的精细操作能力。

硬核团队与尖端设备,铸就生命防线

一台台高难度手术成功的背后,是强大的团队支撑和设备保障。

平原县人民医院心内科现有医护人员20名,其中心血管介入核心团队8人,是一支经验丰富、技术精湛、敢打硬仗的专业队伍。科室在冠心病、心力衰竭、高血压病、结构性心脏病、心律失常等疾病的诊治方面积淀深厚。科室配备了国内先进的医用血管造影X射线机(DSA)、心脏电生理仪、射频消融仪、主动脉球囊反搏泵(IABP) 等一大批高精尖设备。这些设备如同介入医生的“眼睛”和“手臂”,为各类复杂手术的精准实施提供了强有力的硬件支撑。

目前,科室已成熟开展多项核心介入技术,构建起完善的诊疗体系:

冠状动脉介入治疗:从急诊心梗抢救到CTO病变开通,技术全面覆盖;

心律失常射频消融术:微创根治房颤、室上速等;

心脏起搏器植入术:临时与永久起搏,守护心跳节律;

主动脉球囊反搏(IABP):为危重症患者提供生命支持;

结构性心脏病介入治疗:房缺、室缺封堵术,不开刀治愈“心”缺憾。

平原县人民医院心内科介入团队,用实力为每一次心跳保驾护航,做您心脏健康最坚实的后盾。

来源:平原县人民医院

分享文章到:

相关新闻

推荐阅读

加载中...