【公益科普】读懂影像检查:告别误区 科学就医
商讯
关注读懂影像检查:告别误区 科学就医
科普专家:山东大学齐鲁医院驻禹城市人民医院影像科帮扶专家 医学博士 韩晓宇
问:为什么说影像检查是现代医生的透视眼?
答:拥有一双看透身体的慧眼,是我们的祖先延续千年的梦想。
(《史记》记载扁鹊获得透视眼能力后以诊脉的名义为患者看病,实为“尽见五藏症结”)
《史记》记载,扁鹊得高人传授,用上池之水饮下秘药后给人看病时竟能直视五脏的病症,因而屡次使人起死回生,成就神医美名。
(《西京杂记》和《殷芸小说》记载秦朝咸阳宫内有一宽四尺、高五尺九寸的方镜,用手按压胸口照镜可显现五脏病变并辨别忠奸)
《西京杂记》和《殷芸小说》记载,刘邦灭掉秦王朝后,进入咸阳宫,见到了很多奇珍异宝,其中有一面神奇的方镜,当人用手按住心脏的位置去照镜子时,就能清晰地看到自己的五脏六腑和疾病所在。
(现代影像设备)
这些古老的故事体现了先人对看见疾病的渴望。这双眼睛和这面镜子,如今已通过现代科技变成了现实。X线、CT、磁共振等技术就像为医生装上了透视眼,以影求真,不开刀就能洞察身体的细微变化。
“面包房”里的影像学
问: X线、CT、磁共振,名字一个比一个高大上,价格也一个比一个贵。是不是越贵的越好?
答:做检查不选贵的,要选对的。我们影像科医生看身体,就像大家看面包。
(X线、CT、磁共振原理模拟图)
X线就像把面包压扁了拍一张照片。它最擅长看骨头。摔了一跤,怀疑骨折,或者入职体检筛查肺部病变,X线是最快、最划算的。但缺点是组织重叠,比如小的肺肿瘤,可能会被肋骨挡住漏诊。还有一个缺点是有辐射。
CT就像把面包横着切成1mm左右的薄片来看,堪称全能选手,尤其在看肺部、腹部或者是急诊外伤时,让小病变无处遁形。低剂量胸部CT更是早期肺癌筛查的最强杀手锏。缺点同样是有辐射。
磁共振好比看清面包里的水分,靠磁场成像,没有辐射。它是看软组织的王者。比如大脑的急性梗死、膝关节的半月板撕裂、肩关节的韧带损伤、椎间盘突出等,磁共振看得最清楚,但缺点是检查时间长、噪音大。另外做磁共振时身上不能携带金属,否则可能发生危险。
总之,这些检查不是越贵越好。筛查骨折选X线,看肺部选CT,看大脑和关节选磁共振。听专业医生的,既省钱又救命。
辐射到底有多大?
问:提到影像检查,大家最怕两个字:辐射。甚至有人觉得,做一次CT,人就被“照坏了”,影像检查辐射对人体的危害有多大?该如何防护?
答:谈辐射色变,大可不必。其实我们生活中时刻都在接受来自宇宙射线、土壤、建筑等的天然辐射,就连吃一根香蕉,也会受到微量辐射,因为香蕉中含有天然放射性钾。
(日常生活中的辐射)
我们拍一张X线胸片接受的辐射剂量大约相当于吃了200根香蕉,或者坐了2小时飞机。大家体检时做的低剂量胸部CT,相当于半年左右的天然辐射,也大约相当于吃10000根香蕉。虽然听起来多,但依然在人体每年的安全承载范围内。单次常规CT的致癌风险,远低于吸烟、空气污染、不良饮食习惯的危害,而漏掉体内的肿瘤才是真正的风险。所以,一年一次体检CT,大家完全可以放心。在检查时,我们会严格掌握适应症,合理选用检查。对非检查部位,如甲状腺、性腺等,需要穿戴铅衣、铅围脖等防护服。
平扫vs增强
问:有些患者问,为什么我做了平扫CT之后,医生又建议做增强?
答:平扫CT体现的是不同组织之间天然的密度差异。但有些病变与其周围组织的密度相近,仅靠平扫很难识别。还有很多不同的病变在平扫图像上均呈一样的密度,难以定性。这时就要做增强CT,通过静脉注射含碘对比剂,可以增加病变与周围组织之间的密度差,有助于精准找病灶、定性质。
(某患者腹痛,腹部平扫CT未见明显异常,增强扫描示胰腺癌。)
比如这位患者因腹痛就诊,行腹部平扫CT看到胰腺局部比较饱满,但密度与正常胰腺差不多,是否有病变不能做出准确判断。行增强扫描后,此处的强化程度较正常胰腺明显减低,诊断为胰腺癌。
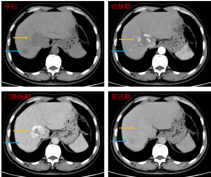
(某患者腹部平扫CT示两处低密度病灶,增强扫描确诊大病灶为良性血管瘤(黄箭),小病灶为肝癌(蓝箭)。)
这是另一例患者的腹部平扫CT图像,肝脏上有两处低密度病变,但性质尚不能确定。进一步行增强扫描,发现两处病变的强化方式不同,大病灶呈“快进慢出”、向心渐进性强化,诊断为良性血管瘤,小病灶呈“快进快出”强化,诊断为肝癌。说明在平扫CT上密度相似的病变,本质可能天差地别。磁共振也是类似原理。因此当平扫发现可疑病变或难以定性时,增强扫描就是为了更精准诊断,避免漏诊误诊。
总结
从古人的透视梦想,到如今的医学影像技术,这些设备都是医生的慧眼,更是大家健康的守护者。选对检查、不恐辐射,相信专业医生,就能让这些技术更好地为我们的健康保驾护航。
来源:禹城市人民医院