新浪山东 区县

“镜”准锁定,“肺”速康复——平原县人民医院呼吸内科助力青少年肺炎5天逆转危局

商讯

关注

确定不再关注此人吗

近日,一名突发肺炎的青年在平原县人民医院呼吸内科团队的精准救治下,从双肺弥漫性病变的危急状态,仅用5天便实现“肺部康复”,而这起病例背后,藏着所有青少年及家长都需警惕的健康陷阱。

危急时刻:青春年华突遭“肺危机”

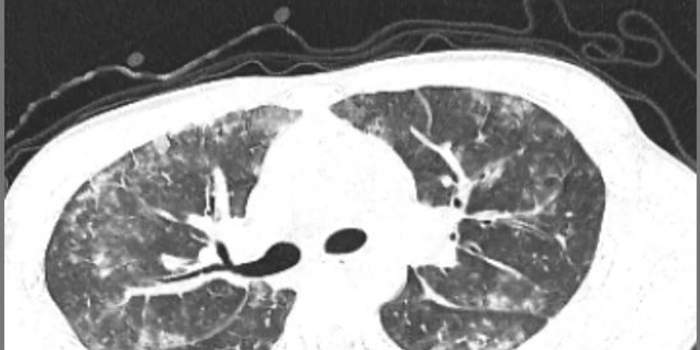
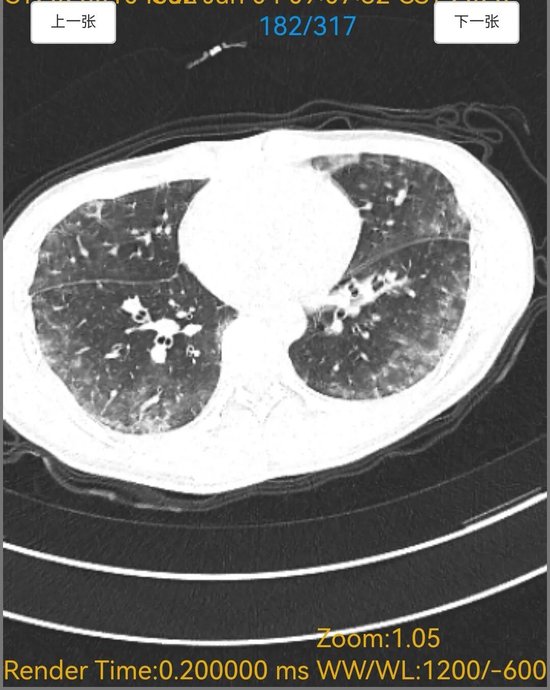
6天胸闷气短、5天持续高热,18岁的小宋被紧急送入平原县人民医院呼吸内科,胸部CT检查结果让接诊医生忧心不已,双肺布满大片“毛玻璃”阴影,呈现弥漫性病变,提示肺部正遭受严重侵袭。更棘手的是,常规感染筛查中,细菌、病毒等常见病原体检测均为阴性,病因成谜,治疗陷入困境。

“患者年纪小,病情进展却异常迅猛,必须尽快找到致病根源!”呼吸内科主治医师郑焱在详细追问病史时,捕捉到关键线索,小宋有3年吸烟史,发病前曾首次尝试“水果口味”电子烟。这一线索,为后续诊断提供了重要方向。

精准破局:支气管镜直击“真凶”

面对常规检查无法破解的诊断困局,呼吸内科团队果断启用支气管镜检查及肺泡灌洗术。这项被称为呼吸科医生“第三只眼”的微创技术,能通过纤细的内镜直达肺部病变部位,既可观气道内部情况,又能精准采集深部灌洗液样本,为诊断提供金标准证据 。

在高清显示屏的实时引导下,郑焱主治医师娴熟操作支气管镜,顺利完成肺泡灌洗,成功获取了关键的肺部深部液体样本。随后的化验结果显示,灌洗液中嗜酸性粒细胞比例高达26%,显著超出正常范围,最终明确诊断为急性嗜酸性粒细胞性肺炎。

“这种肺炎多与吸入刺激性物质相关,结合患者电子烟接触史,致病‘真凶’大概率就是成分不明的电子烟气溶胶。”郑焱解释道,支气管镜技术的直观性与精准性,让原本迷雾重重的病情瞬间清晰,为治疗赢得了关键时间。

惊人逆转:5天“焕新”双肺

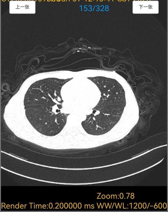
诊断明确后,呼吸内科医师团队制定了针对性极强的精准治疗方案。令人惊叹的疗效随之出现,在针对性药物治疗仅5天后,患者复查胸部CT。影像对比显示,原本遍布双肺的弥漫性“毛玻璃”阴影已基本完全吸收

从病因不明到转危为安,这场救治,彰显了平原县人民医院呼吸内科在重症肺部疾病诊疗中的过硬实力。

医生警示:这些信号绝不能忽视

“青少年肺部仍处于发育阶段,电子烟中的尼古丁、调味剂等有害物质,会像‘劣质水泥’般破坏肺部结构,诱发急性炎症、肺大疱等不可逆损伤,成瘾速度更是成人的两倍。”郑焱强调,近年来电子烟相关肺部疾病频发,无论是传统卷烟还是看似“时尚”的调味电子烟,本质都是危害呼吸系统的“隐形杀手”。

持续出现咳嗽、胸闷、气短、发热等呼吸道症状,且原因不明或常规治疗无效时,应尽早前往正规医院呼吸内科就诊,进行系统检查,查明病因,以免延误治疗。

平原县人民医院呼吸内科门诊就诊地点:门诊楼三楼12号诊室

咨询电话:0534-4258245

来源:平原县人民医院

分享文章到:

相关新闻

推荐阅读

加载中...