新浪山东 区县

精准放疗显奇效!多类肿瘤患者治疗案例+武城县人民医院核心优势全解析

商讯

关注

确定不再关注此人吗

在肿瘤治疗领域,放射治疗作为关键手段之一,正以精准、高效的优势为无数患者带来希望。武城县人民医院放疗科凭借强大的专家资源、先进设备与精准治疗体系,已帮助众多肿瘤患者实现肿瘤缩小、病情改善的治疗目标,现将部分治疗成果与核心优势分享给大家。

真实治疗案例:见证放疗的显著疗效

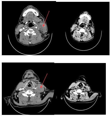
(一)鼻咽癌

治疗前CT显示鼻腔、颈部肿块明显,经调强放射治疗33次后1个月复查,肿块显著缩小,患者病情得到有效控制。

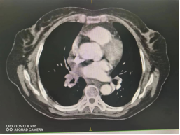
(二)小细胞肺癌

行IMRT一疗程(32分次)后,经CT检查,肿瘤明显缩小。

(三)肺鳞癌

行IMRT治疗一疗程(35次)后,经CT检查所示,肿瘤明显缩小。

(四)肺癌

行IMRT治疗半程CT图像对比图

(五)食管癌

放射治疗半程对比

武城县人民医院放疗科核心优势:为治疗保驾护航

(一)专家团队:京鲁名医全程护航

武城县人民医院放疗科为省立三院放疗科共建科室,且省立三院、北京大学肿瘤医院、齐鲁医院、山东省肿瘤医院放疗科专家医师定期来武城县人民医院坐诊、查房及知识讲座,极大方便患者就医需求的同时提高科室人员放射治疗技术水平。其中省立三院张主任全程参与并指导患者治疗全过程,如靶区勾画、治疗剂量设定、计划审核等。

北京大学肿瘤医院放疗科于主任、刘主任在武城县人民医院坐诊、查房并指导患者放疗方案。

(二)设备领先:精准治疗的硬件保障

引进Elekta Synergy医用直线加速器,作为周边区县性能最强大的放疗设备,融合全数字化控制系统、高速高精度多叶准直器及先进影像验证系统,能精准打击肿瘤的同时,最大程度保护正常组织,缩短治疗时间,提升患者治疗体验。

(三)计划精准:国际先进的治疗方案

医科达Monaco治疗计划系统,使每一个治疗计划精确、自动、完美。代表国际最先进水平的“调强”治疗计划,可按治疗需要,设计出肿瘤病灶、亚临床病灶、周围正常组织的剂量强度完全不同的照射计划,杀死肿瘤细胞的同时,很好的保护了正常组织,保证每次治疗误差小于1mm,这样使每一个治疗计划可以精确、自动、完美,能实现较优的剂量分布,最大程度提高肿瘤剂量,降低正常器官受量,能有效缩短治疗时间,提高患者舒适度,具有“快、准、优”的特点,是目前国内外最先进的放射治疗技术。

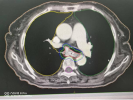
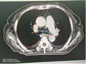
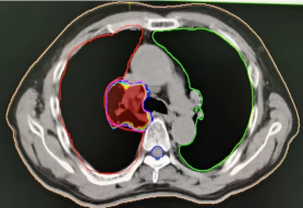
(四)质控严格:确保治疗精准落地

1、肺癌横断面及矢状面肿瘤处治疗剂量显示图

2、咽部肿瘤横断面及矢状面治疗剂量显示图

3、计划系统效果图:黄色线内-蓝色线外深颜色区域为高剂量区域,黄色线外及蓝色线内为低剂量区域。即照射剂量区域可按肿瘤治疗的需要进行调节。

(五)精准的验证及质控设备,确保计划系统设定的治疗计划准确无误的执行。

(六)放疗适应症:覆盖多类肿瘤类型

头颈部肿瘤:鼻咽癌、舌癌、喉癌、甲状腺癌等;胸部肿瘤:肺癌、食管癌、乳腺癌、纵膈肿瘤等;腹部肿瘤:结直肠癌、胃癌、肝癌、胰腺癌等;泌尿系统肿瘤:肾癌、膀胱癌、前列腺癌等;女性生殖系统肿瘤:宫颈癌、子宫内膜癌、卵巢癌等;中枢神经肿瘤、造血系统恶性肿瘤、骨软组织肉瘤、皮肤恶性肿瘤及各类转移瘤。

如果您或身边亲友正遭受肿瘤困扰,不妨选择武城县人民医院放疗科,这里有权威的专家团队、先进的治疗设备、精准的治疗方案与贴心的就医保障,为您的健康保驾护航!

联系方式:

0534-5354021

0534-5354292

0534-5354296

来源:武城县人民医院

分享文章到:

相关新闻

推荐阅读

加载中...