庆云县人民医院——九旬老人腹主动脉瘤破裂,微创介入手术助其转危为安!

商讯
关注10月11日,庆云县人民医院胸心外普通外科一病区团队成功为一位89岁高龄的老人,实施了紧急腹主动脉瘤破裂介入手术,将老人从死亡线上拉了回来!目前,患者恢复良好,已可正常饮食、下床活动。

这项手术的成功,标志着庆云县人民医院在救治高龄高危复杂动脉瘤疾病方面的技术实力达到了区域领先水平。
01
生死时速:高龄老人遭遇“体内不定时炸弹”
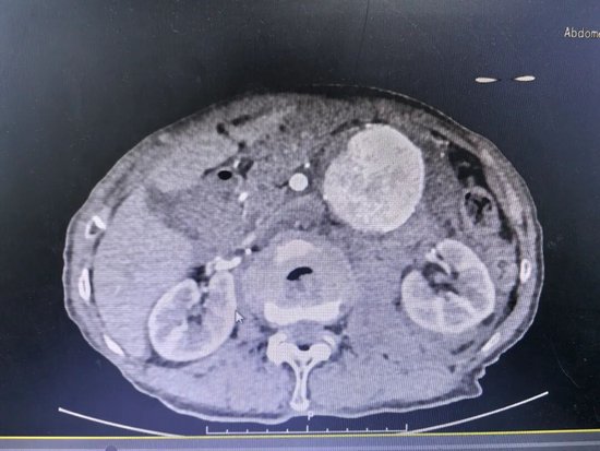
腹主动脉瘤,被称为“体内的不定时炸弹”,一旦破裂,死亡率极高。对于89岁的老人来说,这颗“炸弹”不幸被引爆。10月10日,患者因突发剧烈腹痛被紧急送入庆云县人民医院,经检查,确诊为腹主动脉瘤破裂出血,情况万分危急。
“对于如此高龄的动脉瘤破裂患者,传统开腹手术创伤巨大,患者身体根本无法承受。而动脉瘤破裂后,每一分钟都在与死神赛跑。”庆云县人民医院胸心外普通外科一病区张玉良主治医师介绍道,面对这一严峻挑战,医院迅速启动绿色通道,组织麻醉科、介入手术室、重症医学科(ICU)等多学科专家进行紧急会诊。
02
妙手仁心:微创介入手术架起“生命桥梁”
经过专家团队的全面评估和审慎决策,认为唯有行腹主动脉瘤腔内修复术(EVAR),才有一线生机。这是一种微创介入手术,仅需在双侧大腿根部切开约2厘米的小切口,通过股动脉将覆膜支架系统精准输送到动脉瘤部位,像搭桥一样在血管内建立起一道坚固的“屏障”,隔绝破裂的瘤腔,从而达到止血和治愈的目的。

尽管手术方案最优,但患者高龄、血管条件差、耐受能力低,术中任何一个环节出现闪失都可能导致失败。医护团队凭借精湛的技术和丰富的经验,成功将覆膜支架精准释放到位。
造影显示,支架定位完美,动脉瘤被完全隔绝,活动性出血瞬间停止,手术取得了决定性成功!

03
重获新生:精湛医术守护“夕阳红”
术后,老人被转入ICU进行严密监护。在医护人员的精心治疗和护理下,老人平稳度过了危险期,身体各项指标逐渐恢复正常。
术后三天,老人转回普通病房,精神状态一天天好转,脸上也露出了久违的笑容。
“真的太感谢你们了!没想到我89岁了,还能闯过这一关。”病床前,老人紧紧握着医护人员的手,激动地说道。家属也多次表示,是医院给了老人第二次生命。
此次高龄高危患者腹主动脉瘤破裂抢救成功,不仅是庆云县人民医院血管外科领域技术实力的体现,更是多学科协作(MDT)模式优越性的完美印证。它充分证明,随着医疗技术的进步,高龄不再是手术的绝对禁区。
庆云县人民医院将继续秉持“以患者为中心”的服务理念,不断攀登技术高峰,用精湛的医术和温暖的关怀,为更多高龄、高危患者的生命健康保驾护航。
来源:庆云县人民医院

